有名小孩長期喝可樂,所以導致牙齒變成了副駭人模樣!醫生表示,如果再繼續喝下去,恐怕小孩就......


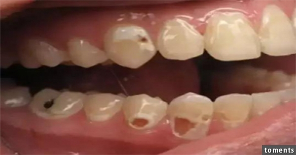
1.蛀牙(齲齒)
蛀牙可以說是絕大多數牙齒消亡的根本原因,細菌在適宜的溫度和足夠的時間下,分解口腔內食物殘留,產生酸性物質,使牙齒脫礦,進而破壞牙釉質,產生齲洞。齲齒初期會出現白堊色斑塊,進而慢慢發展為齲洞。
如果齲病擴大會侵蝕更大範圍的牙體,齲病深入,則會突破牙釉質防線引發牙神經感染,這時需要將感染神經去除以緩解疼痛等不適,也就是大家常說的殺神經,牙科專業稱為根管治療。
殺掉神經的牙齒會漸漸變得相當脆弱,沒有血液滋養,牙體變薄變脆,也失去了適應壓力的彈性緩衝,隨時可能崩壞,最終導致缺失。所以做過根管治療的牙齒,我們通常都要做冠進行保護才好。
2.外傷
牙脫位:在突然而猛烈的撞擊下,牙齒受力完全脫出牙槽窩,這種情況下需要緊急就醫,因為處理得當,牙齒是可以再“安裝”回去的,但要方法得當。
牙折:因為摔倒或磕碰,牙齒可能發生折斷。折斷的部位在牙齦外,我們稱為冠折,如果在牙齦裡面,則稱為根折;也有隻是缺了一角,也許是掉了一大截,無論哪種外傷,牙齒都已經元氣大傷,缺失風險都高了一大截,需要密切關注。

3.酸蝕
牙齒酸蝕症曾經是生產和使用酸的工人的一種較常見的口腔職業病,它是由於較長時間接觸各種酸霧或酸酐所引起的牙體硬組織脫鈣缺損。
近些年牙齒酸蝕卻隨著碳酸飲料的流行而趨於流行化和年輕化,兒童和青少年患者越來越多,在牙齒缺失病因排行上也逐年上升。
碳酸類飲料其酸性度雖然極弱,但長期飲用、攝入量多且頻率高又不注意防護的情況下,就會在不知不覺間造成累積性的酸蝕作用。
《英國牙科雜誌》曾發表過一份研究報告。研究結果顯示,喝碳酸飲料會使12歲孩子牙齒的酸蝕率增加59%,使14歲孩子牙齒酸蝕率增加22%。如果每天喝4杯以上的碳酸飲料,這兩個年齡段孩子的牙齒酸蝕的機率將分別增加25.2%和51.3%。
牙周壞了的罪魁禍首:細菌

牙齒是由牙槽骨、牙周組織等結構包裹,而穩固排列在口腔內的。
牙周組織是穩固牙齒的極重要的部分,它柔軟、富有彈性,緊密包裹在牙齒周圍,使牙齒能夠承受一定的外力作用,而細菌是威脅牙周的罪魁禍首。
牙菌斑長期的沉積形成牙結石,起初為乳白色的軟垢,之後會逐漸鈣化變硬,嵌塞在牙齒和牙齦之間,使得牙齒和牙周組織的接合不再緊密,同時順勢向牙根部位堆積延伸,形成牙周病。

剝離了牙周組織,牙結石緊緊附著在牙體周圍,導致牙齦退縮出血等現象。
有時大家還會被「牙齒被牙結石牢牢卡住」的假象誤導,以為牙齒沒有鬆動,無需處理。但是牙結石上附著大量的致病因素,不但會造成牙齒的鬆動脫落,還可能會隨著血液傳遞到全身,是全身健康的重大隱患,應該及時去除。
如何預防這些情況的發生?

我們一直提倡預防勝於治療,口腔日常護理即為:
每天早晚兩次有效刷牙,刷夠3分鐘;餐後漱口,使用牙線;每年一次定期口腔檢查,兒童和老年人最好增加到半年一次口腔檢查;每年一次潔牙,吸煙飲酒者需要增加至每年兩次。
最後請把這個資訊分享給大家喔!